
親知らずが4本ありまして、上下4本の歯が横向きの親知らずでしかも埋没している。子供の頃いつか抜いてねと言われて放置していたんですが、大人になって痛みが出てきた。職場で親知らずを抜歯すると痛みで動けない!と脅すので昼休みに行ったお話
禁酒する前のお話なのでお酒を飲んだよっというお話も出てきます。
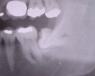
横向き親知らずは早めに抜歯したほうがいい理由
埋没タイプはほっといても肉の内側にあるので虫歯にならないので調子が悪くなったら抜きましょうと歯医者で言われた。問題は痛みが出ていたところは少し歯が出ている。
歯と歯のスキマに食べかすがつまり虫歯になりやすい。このような場合は早めに抜歯した方がいい。
そして、リスやうさぎじゃないですが、人間も少しずつ歯は成長しています。埋没している歯も成長しているとのこと。食べ物を食べることですり減っているんだとか。
だから横向きの親知らずは成長しながら正常な奥歯を押していって歯並びを悪くしていきます。実際に自分の下の歯の奥歯は内側に傾斜していてはが磨きにくいです。
さらに、横向きの歯と正常な歯が擦れて正常な歯を虫歯にしやすいんです。歯の根元が虫歯になると通常の虫歯の治療ができないので、親知らずのせいで虫歯ができた真っ直ぐな歯の神経を抜かなきゃいけないとのこと。
このように大事な歯が虫歯になったりするので、できればさっさと抜いてしまったほうがいいです。
全体の歯並びがいいのにねって言われただけに残念すぎる。
上の歯の親知らずは鼻横の副鼻腔と繋がり蓄膿症の可能性が
上の歯の上に副鼻腔と呼ばれる空洞があります。正確に言うと上顎洞(じょうがくどう)というんですが、上の歯の親知らずがあまりにひどいと抜いた時にこの副鼻腔と口の中がトンネル上に穴が空いてしまう場合があります。
もしこれで雑菌が入ると蓄膿症(ちくのうしょう)になる可能性があって危険なんですよね。だから傷がすぐに治る若いうちに治療をするのがいいと歯医者さんが言ってました。
自分の場合はかなり奥にあったんですが、紙一重で上顎洞(じょうがくどう)の副鼻腔と親知らずが肉の壁ギリギリで助かったのでよかったと言われました。
そんじゃあ親知らずの抜歯への体験談を書いていきますね。
昼休みに歯医者に行って親知らずを抜いてみた
会社そばの歯医者さんに電話して歯が痛いので予約。当日、歯医者に行ってレントゲンを取って診察してもらいました。原因は横に伸びた親知らずですね。虫歯はありませんので次回、親知らずを抜きましょう。いつにしますか?
昼の12時にお願いします。と再度予約してその日は終了。そして会社に戻って親知らずだったわ。明日抜いてくると説明。
親知らずを抜歯したあとはすごい動けない。痛すぎる。と周りで親知らずを抜いた人たちが痛さ自慢とどれだけ怖いかというアピール合戦が始まりました。
絶対仕事の後にしたほうがいい!と言われましたが、絶対嘘だろと思って翌日の昼休み
歯医者さん複雑なので葉を砕いて抜歯します30分でいけます
歯医者さんにどれぐらいかかりますか?半分以上埋没しているので歯を砕いて取り出します。抜歯から歯茎を縫い合わせるのまで入れて30分で出来ますよ。っと言われて、自分としては、え?30分なんだ大したことないじゃんっと感じてしまいました。
歯の麻酔は別に痛くなかったよ。歯茎の感覚が全くなくなりました。なんかゴリゴリやってるなぁ~って思っていたら。大丈夫ですかぁ~って声をかけられたので、ここからが本番か。。と思ったら終わりました。
え?早くない?あっさりすぎる。拍子抜けです。そして、痛み止めと抗生物質を飲んでくださいね。と言われました。
自分その時アル中ぐらいの勢いだったので、お酒は今日呑んだらまずいですか?ッて聞いたらせめて今日ぐらいは我慢してくださいと怒られました。
会社に戻り痛み止めと麻酔が切れたらめちゃくちゃ痛いと煽られる
会社で親知らず抜いたっていって、まあ血が出てくるのでティッシュを噛んでたわけですよ。あ~血が出るわ。まあいいか。と思っていたら、どう?痛い?麻酔と痛み止めが切れたら地獄だよ!っと言われました。
麻酔と痛み止めが切れたら、多少痛いけれどまあ別に大したことないな。ッて感じでした。その日の夜も痛み止めを飲んで翌日には大したことなかったです。
そして翌日から普通に酒を飲んでました。真似しちゃダメだよ!
歯茎を縫い合わせた糸を抜糸しに病院に行くはずが
親知らずを抜いたあと歯茎を縫い合わせた糸の抜糸のために予約してたんですが、舌でいじってたら取れちゃいましたので、様子を確認してもらって特に問題ないことを確認して終了
親知らずを抜いたあとがいたいのはドライソケットというらしい
親知らずを抜いた跡にできる穴をドライソケットというらしい。これはほっとけば肉が盛り上がってきて1~2ヶ月程度で治るとのことでした。
自分の場合はドライソケットは治ったんですが、あまりにも穴が深かったようで、抜いた歯の横の歯が隠れずに歯茎がへこんだままです。
だからしっかり歯を磨かないと穴に食べかすがたまって虫歯になりやすいので注意が必要なのです。
その後だいぶたってから歯医者に行きましたが何も問題ありませんでした。
親知らずの痛み止めはロキソニンかバファリン
病院に行くまで痛くて耐えられないという人は親知らずの痛み止めで市販の薬を使うといいですね。今は痛み止めの定番のロキソニンがネット通販でも買えるようになりましたし。ロキソニンはアマゾンで売っていないので、アマゾンでで買うならバファリンでがいいですね。
というかバファリンアマゾンだと半額で買えるのか安すぎる。薬局で買うもんじゃないなぁ。
昼休みに歯医者に親知らずを抜きに行った感想
最近の歯医者は治療がうまいから痛みが少ない。そして早い!!虫歯の治療より早い気分でした。それぐらい痛みもなく、すんなりやってもらえました。技術の進歩ってすごいね。
横向きの親知らずを砕かれたけど、最新機器だったようですぐだったし。記念に親知らずをもらいました。そんなわけで親知らずはさっさと抜いてしまったほうがいいですね。
